Международная лаборатория патоморфологии LABORATOIRES DE GENIE

График работы в период праздников


   Уважаемые пациенты и партнеры!

LABORATOIRES DE GENIE поздравляет вас
с Днем Труда и Днем Победы
и  информирует о графике работы
в период государственных праздников

График работы в период праздников
Международная лаборатория патоморфологии LABORATOIRES DE GENIE
  • Полный спектр высокотехнологичных анализов для
    онкодиагностики
  • Исследования образцов биоматериала любой сложности – органов, тканей, готовых парафиновых блоков и стекол
  • Пересмотр готовых препаратов ведущими российскими и зарубежными экспертами, консультации по результатам заключения
Международная лаборатория патоморфологии <span>LABORATOIRES DE GENIE</span>

Услуги

Повторное исследование (пересмотр) гистологических препаратов ведущими российскими и зарубежными экспертами.

Пересмотр препаратов позволяет исключить ошибки, разрешить спорные клинические случаи, уточнить диагноз и выбрать правильную тактику лечения онкологического заболевания.

Консультация готового гистологического препарата
Консультация готового цитологического препарата
Пересмотр готовых препаратов ЖКТ
Международная лаборатория патоморфологии «Лаборатуар Де Жени» выполняет широкий спектр морфологических исследований, включающих:

• Гистологические исследования
• Цитологические исследования
• Иммуногистохимические (ИГХ) и иммуноцитохимические (ИЦХ) исследования
• Молекулярно-генетические исследования

Если вы не нашли необходимое исследование – свяжитесь с нами любым удобным способом, специалисты лаборатории проконсультируют вас.

Выберите нужный раздел
Иммуноцитохимическое исследование гинекологического материала
Определение микросателлитной нестабильности
Определение мутаций
Пересмотр гинекологического материала
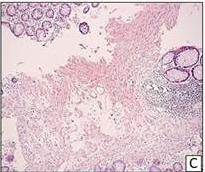
Фотография микропрепарата, добавленная в заключение, может быть использована в качестве иллюстрации, отражающей наиболее значимые или характерные морфологические структуры на предметном стекле.
 
Фотосканирование гистологических препаратов
Фотосканирование цитологических препаратов
Фотофиксация гистологического препарата
Фотофиксация цитологического препарата
Реставрация гистологических препаратов
Дополнительное изготовление гистологических препаратов
Гистологическое исследование молочной железы
Цитологическое исследование молочной железы
Гибридизация
Определение мутаций
Пересмотр готовых препаратов молочной железы
Определение мутаций
Пересмотр урологического материала
Определение мутаций
Пересмотр готовых препаратов кожи
Пересмотр готовых препаратов органов дыхания
Гистологическое исследование щитовидной железы
Цитологическое исследование щитовидной железы
Пересмотр готовых препаратов щитовидной железы
Гистологическое исследование
Иммуноцитохимическое исследование
Определение микросателлитной нестабильности
Гибридизация
Молекулярно-генетическое исследование
Пересмотр готовых препаратов

Преимущества

Точный результат в кратчайшие сроки
Точный результат в кратчайшие сроки

Каждый случай, когда устанавливается либо опровергается диагноз злокачественного новообразования (рака), проходит контроль как минимум двух врачей – так мы гарантируем точность поставленного диагноза.

Лучшие специалисты в отрасли
Лучшие специалисты в отрасли

Эксперты «Лаборатуар Де Жени» — это практикующие врачи с опытом работы от 10 лет, доктора медицинских наук, профессора, академики. По каждому исследованию работа ведется до полного прояснения, привлекаются узкопрофильные специалисты для постановки диагноза по опухолям определенных локализаций или редким видам рака.

Консилиумы с участием ведущих зарубежных специалистов
Консилиумы с участием ведущих зарубежных специалистов

В сложных ситуациях принимаются коллегиальные решения с ведущими патоморфологами Европы и США.
Это не влияет на стоимость исследования, а за счет использования технологий телемедицины консилиумы проходят без потери времени на пересылку препаратов.

Второе экспертное мнение
Второе экспертное мнение

Экспертный анализ (пересмотр) гистологических препаратов ведущими российскими и зарубежными экспертами.
Пересмотр препаратов позволяет исключить ошибки, разрешить спорные клинические случаи, уточнить диагноз и выбрать правильную тактику лечения окнологического заболевания.

Наши специалисты

Голубев Сергей Степанович
Голубев Сергей Степанович
Главный врач.
Кандидат медицинских наук, доцент.
Абросимов Александр Юрьевич
Абросимов Александр Юрьевич
Врач-консультант. Доктор медицинских наук, профессор.
Андреева Юлия Юрьевна
Андреева Юлия Юрьевна
Доктор медицинских наук. Автор более 250 научных трудов.
Асатурова Александра Вячеславовна
Асатурова Александра Вячеславовна
Врач-консультант.
Доктор медицинских наук.
Берченко Геннадий Николаевич
Берченко Геннадий Николаевич
Врач-консультант.
Доктор медицинских наук, профессор.
Завалишина Лариса Эдуардовна
Завалишина Лариса Эдуардовна
Доктор биологических наук. Профессор кафедры ФГБОУ ДПО РМАНПО МЗ РФ.
Коновалов Дмитрий Михайлович
Коновалов Дмитрий Михайлович
Врач-консультант.
Кандидат медицинских наук.
Хомерики Сергей Германович
Хомерики Сергей Германович
Доктор медицинских наук, профессор
Александренко Анастасия Владимировна
Александренко Анастасия Владимировна
Врач-патологоанатом
Аюшеева Ирина Анатольевна
Аюшеева Ирина Анатольевна
Врач клинической лабораторной диагностики
Барановская Татьяна Геннадьевна
Барановская Татьяна Геннадьевна
Врач клинической лабораторной диагностики
Борисов Алексей Викторович
Борисов Алексей Викторович
Заведующий отделением ИГХ-диагностики. Кандидат медицинских наук.
Быкова Галина Александровна
Быкова Галина Александровна
Врач-патологоанатом высшей квалификационной категории
Душаева Марина Владимировна
Душаева Марина Владимировна
Врач-патологоанатом высшей квалификационной категории
Камалетдинова Наталья Сергеевна
Камалетдинова Наталья Сергеевна
Врач-патологоанатом
Кондратьева Мария Олеговна
Кондратьева Мария Олеговна
Врач-патологоанатом
Ливента Наталья Сергеевна
Ливента Наталья Сергеевна
Врач-патологоанатом
Мнихович Максим Валерьевич
Мнихович Максим Валерьевич
Кандидат медицинских наук, доцент
Новикова Татьяна Олеговна
Новикова Татьяна Олеговна
Врач-патологоанатом
Омарова Жанна Рубеновна
Омарова Жанна Рубеновна
Кандидат медицинских наук, врач-патологоанатом
Папулова Жанна Анатольевна
Папулова Жанна Анатольевна
Врач-патологоанатом высшей квалификационной категории
Пестин Иван Сергеевич
Пестин Иван Сергеевич
Врач-патологоанатом
Сидоров Михаил Владимирович
Сидоров Михаил Владимирович
Врач-патологоанатом высшей квалификационной категории
Симкова Елена Юрьевна
Симкова Елена Юрьевна
Врач-патологоанатом
Сотина Елена Михайловна
Сотина Елена Михайловна
Врач-патологоанатом высшей квалификационной категории
Тахаев Зорикто Владимирович
Тахаев Зорикто Владимирович
Кандидат медицинских наук, врач-патологоанатом
Тебенькова Анна Андреевна
Тебенькова Анна Андреевна
Врач-патологоанатом
Тураева Мунавар Бурхоновна
Тураева Мунавар Бурхоновна
Врач-патологоанатом высшей квалификационной категории
Франк Георгий Авраамович
Франк Георгий Авраамович
Академик РАН, главный патологоанатом Минздрава России.
Чехонин Владимир Павлович
Чехонин Владимир Павлович
Вице-президент РАН. Доктор медицинских наук, профессор.
Кактурский Лев Владимирович
Кактурский Лев Владимирович
Член-корреспондент РАН. Доктор медицинских наук, профессор.
Пушкарь Дмитрий Юрьевич
Пушкарь Дмитрий Юрьевич
Академик РАН. Доктор медицинских наук, профессор.
Антонио <br>Лломбарт-Бош
Антонио
Лломбарт-Бош
Президент Instituto Valenciano de Oncología
(Валенсия, Испания)
Элимелех Окон
Элимелех Окон
Профессор патоморфологии
в Sackler School of Medicine
(Тель-Авив, Израиль)

О ЛАБОРАТОРИИ

1
Услуга «Пересмотр готовых препаратов»: независимое мнение экспертов
2
Все виды цитологических исследований
3
Все виды гистологических исследований с возможностью выдачи заключения через 24 часа
4
Иммуноморфология (ИГХ)
с использованием метода моноклональных антител
5
Молекулярная
генетика
Все исследования выполняются по стандартизированным мировым протоколам, точность и
достоверность заключений подтверждена сертификатами независимых экспертиз.
4
2
3
1
Иммуногистохимические исследования: окраска стекол антителами широкого спектра (160 видов) в иммуногистостейнере ROCHE Ventana
Проводка материала для гистологического исследования в аппаратах Sakura VIP 6 и Sakura VIP 5 Junior
Окраска гистологических и цитологических препаратов в автоматизированном гистостейнере Prisma
Цитологические исследования: приготовление препаратов по жидкостной технологии BD SurePath
1

Автоматизированная система
штрихкодирования и отслеживания материала на всех стадиях работы

2

Полный цикл от получения материала до выдачи результата:

  • Нанесение уникального кода — первый этап работы с материалом
  • Отслеживание и идентификация материала, блоков и стекол на всех стадиях
  • Выдача заключения on-line через личный кабинет
3

Мощности оборудования в лаборатории позволяют проводить исследования в экспресс-режиме и получить подробное заключение по биопсийному материалу через 24 часа, тем самым сократив время обследования

4

Создание базы цифровых изображений микропрепаратов с помощью специализированного сканера Aperio позволяет дистанционно контролировать качество проводимых исследований и консультироваться с ведущими патоморфологами Европы и США

5

Использование для диагностики сложных случаев дополнительных методик окраски позволяет исключить диагностические ошибки

6

Сочетание двух морфологических диагностических методов – гистологического и цитологического – значительно повышает достоверность окончательного заключения

ОБЯЗАТЕЛЬНОЕ МЕДИЦИНСКОЕ СТРАХОВАНИЕ

В соответствии с Приложением 3 к Территориальной программе государственных гарантий бесплатного оказания гражданам медицинской помощи, утвержденной Постановлением Правительства Москвы от 30.12.2025 № 3389-ПП, ООО «Лаборатуар Де Жени» входит в реестр медицинских организаций, участвующих в реализации Территориальной программы государственных гарантий бесплатного оказания гражданам медицинской помощи в городе Москве на 2026 год и на плановый период 2027 и 2028 годов.

Согласно закону «Об обязательном медицинском страховании» лаборатория предоставляет весь спектр патолого-анатомических исследований.

Для исследования по программе ОМС вам потребуются следующие документы:

Документ, удостоверяющий личность пациента

Паспорт гражданина РФ; удостоверение личности военнослужащего РФ; временное удостоверение личности гражданина РФ; для детей до 14 лет — свидетельство о рождении и документ, удостоверяющий личность законного представителя.

Страховой полис ОМС

СНИЛС

Выписка из медицинской документации

Направление формы 057/у в ООО "Лаборатуар Де Жени"
(форма по приказу МЗ РФ от 02 сентября 2025г. №519н)

Рекомендуем перед визитом в лабораторию прислать скан-копию или качественное фото направления по нашим контактам (электронная почта, мессенджеры) для проверки правильности заполнения!

Направление на исследование утвержденной формы*

Для гистологических и ИГХ-исследований — форма 014/у
Для цитологических и ИЦХ-исследований — формы 203/у-02 и 446/у
*Допускается оформление в лаборатории при поступлении биоматериала, при условии предоставления необходимых клинических данных

Направления должны быть заполнены разборчиво без пропуска граф и содержать все необходимые реквизиты, в том числе печать и штамп направляющего учреждения, подпись (с расшифровкой фамилии) и личная печать врача, направившего материал.

29001 Биопсия 1-й категории сложности без дополнительных методов исследования

29002 Биопсия 2-й категории сложности без дополнительных методов исследования

29003 Биопсия 3-й категории сложности без дополнительных методов исследования

29004 Биопсия 4-й категории сложности без дополнительных методов исследования

29005 Биопсия 5-й категории сложности без дополнительных методов исследования

29006 Гистологическое исследование одного тканевого фрагмента биопсийного (операционного и диагностического) материала с применением декальцинации

29007 Иммуногистохимическое исследование одного тканевого фрагмента биопсийного (операционного и диагностического) материала с постановкой одной иммунологической реакции

29011 Иммуноцитохимическое исследование биологического материала

29017 Тест методом FISH (Определение перестроек гена ALK методом FISH)

29018 Тест методом FISH (Определение перестроек гена ROS1 методом FISH)

29019 Тест методом FISH (Определение перестроек гена HER2 методом FISH)

29020 Иммуногистохимический тест (PD-L1)

29021 Иммуногистохимический тест (ALK)

29022 Иммуногистохимический тест (Her2)

29024 Дополнительное гистологическое исследование одного тканевого фрагмента биопсийного (операционного и диагностического) материала с применением гистохимических окрашиваний

29025 Иммуногистохимический тест (PD-L1) с использованием набора 22C3

29027 Исследование одного тканевого фрагмента биопсийного (операционного) материала с применением метода флуоресцентной гибридизации in situ (FISH)

30111 Срочное (в том числе интраоперационное) цитологическое исследование

30112 Цитологическое исследование материала, полученного при гинекологическом осмотре (проф.скрининг) ESLI.LI.11.1

30113 Цитологическое исследование материала полученного при гинекологическом осмотре при выявленной патологии(ручная) ESLI.LI.11.1

30114 Цитологическое исследование соскобов со слизистой оболочки влагалища,шейки матки и цервикального канала при гинекологическом осмотре ESLI.LI.11.2

30115 Цитологическое исследование материала, полученного при пункции опухоли, опухолеподобного образования или другого патологически измененного участка любой локализации ESLI.LI.11.3

30116 Цитологическое исследование материала, полученного при эндоскопических исследованиях (исключая эндоскопию желудка) и аспиратов из полости матки ESLI.LI.11.4

30117 Цитологическое исследование (мазки, мазки-отпечатки) состояния слизистой оболочки желудка с определение инфицирования НР ESLI.LI.11.5

30118 Цитологическое исследование жидкостей, в том числе экссудатов, транссудатов, секретов, экскретов и смывов ESLI.LI.11.6

30119 Цитологическое исследование соскобов, отпечатков, отпечатков с поверхности эрозий, язв, свищей, ран и других патологически измененных поверхностей (в том числе отделяемого из сосков молочной железы) ESLI.LI.11.7

30120 Цитологическое исследование мокроты ESLI.LI.11.8

30121 Скрининговое автоматизированное цитологическое исследование слизистой шейки матки, полученного при гинекологическом осмотре (метод жидкостной цит.) ESLI.LI.11.10

ДЛЯ КЛИНИК

Лаборатория выполняет весь спектр гистологических (от малого биопсийного до крупного операционного материала), иммуногистохимических, цитологических (традиционный и жидкостной методы), а также ряд молекулярно-генетических исследований.

Запросить коммерческое предложение

Квалификация врачей

В штате лаборатории команда высококвалифицированных врачей, включая специалистов с наличием ученых степеней.

В диагностике сложных случаев используется коллегиальное мнение, в том числе с участием ведущих отечественных и зарубежных специалистов.

Оснащение

"Лаборатуар Де Жени" - это комплекс высокопроизводительного оборудования (Roche, Thermo Fisher Scientific, Sakura и др.) обеспечивающий стабильно воспроизводимый высокий уровень пробоподготовки материала.

1
2
3
4
6
5
7
8
9
10
11
12
Сервис

Каждому клиенту мы готовы предложить пакет услуг по сопровождению исследований:

  • качественные расходные материалы для взятия и консервации образцов;
  • курьерская доставка биоматериала;
  • персональный менеджер;
  • личный кабинет с возможностью интеграции в вашу систему управления предприятием;
  • выдача заключения онлайн сразу по готовности.
Сроки
Возможность выдачи заключения в срок от 24 часов*

*Исчисление срока ведётся с момента поступления биоматериала в лабораторию
4K7A6678.jpg

НОВОСТИ И ПУБЛИКАЦИИ

30.04.2026

График работы в майские праздники 2026
Читать

18.02.2026

Отзывы пациентов и оценки профессионалов: лаборатория «Де Жени» сохраняет знак качества
Читать

25.12.2025

С Новым годом!
Читать

19.12.2025

Международная медицинская лаборатория «Хеликс» вновь признана «Маркой №1»
Читать

15.12.2025

Короткий день 16 декабря
Читать

05.11.2025

Вниманию пациентов: новая форма направления по ОМС
Читать

30.10.2025

График работы в праздники
Читать

10.10.2025

Лаборатория готовится к расширению
Читать

03.10.2025

Специалисты «Лаборатуар Де Жени» на XI Конгрессе лабораторной медицины
Читать

12.09.2025

Искусственный интеллект в диагностике патологий печени: исследование врача «Лаборатуар Де Жени»
Читать

14.06.2025

С Днём медицинского работника!
Читать

10.06.2025

Специалисты «Лаборатуар Де Жени» на Пленуме РОП
Читать

09.06.2025

Поздравляем с Днём России!
Читать

29.04.2025

График работы в праздничные дни
Читать

03.04.2025

Второе мнение — на первом месте!
Читать

06.03.2025

7 марта — график работы в предпраздничный день
Читать

05.03.2025

«Лаборатуар Де Жени» — хорошее место!
Читать

27.12.2024

Публикация А.А.Тебеньковой в журнале «Современные проблемы науки и образования»
Читать

23.12.2024

Поздравляем с Новым годом!
Читать

16.12.2024

17 декабря — короткий день
Читать

04.10.2024

X Конгресс лабораторной медицины
Читать

24.09.2024

Борьба с онкологическими заболеваниями: поставлены цели до 2030 года
Читать

19.06.2024

Лекция эксперта «Де Жени» о диагностике при раке легкого: ИГХ и генетические тесты
Читать

11.06.2024

С Днём России!
Читать

28.05.2024

Доклад врача «Де Жени» на Пленуме РОП
Читать

26.04.2024

График работы в майские праздники
Читать

05.04.2024

Новые кадры – новые компетенции
Читать

07.03.2024

С 8 Марта!
Читать

22.02.2024

23 февраля — выходной
Читать

02.02.2024

4 февраля — Всемирный день борьбы против рака
Читать

28.12.2023

График работы в новогодние праздники
Читать

27.11.2023

Прямой диалог с заказчиком
Читать

06.10.2023

Эксперты «Лаборатуар Де Жени» на 9-м Российском конгрессе лабораторной медицины
Читать

15.09.2023

График работы LABORATOIRES DE GENIE
Читать

15.08.2023

«Де Жени» расширяет техническую базу для жидкостной цитологии
Читать

21.06.2023

Московский онкологический форум — 2023
Читать

16.06.2023

С Днем медицинского работника!
Читать

13.06.2023

Дмитрий Пушкарь стал лауреатом Государственной премии РФ
Читать

08.06.2023

График работы LABORATOIRES DE GENIE в праздничные дни
Читать

01.06.2023

Перезапуск сайта LABORATOIRES DE GENIE
Читать

24.04.2023

VII Ежегодный конгресс Российского общества онкопатологов
Читать

13.03.2023

Первый Российский Конгресс лабораторной гистотехнологии
Читать

12.01.2023

Итоги 2022 года: юбилей, ребрендинг, 1,5 млн исследований
Читать

23.12.2022

«Лаборатуар Де Жени» снова подтвердила свой статус референсной лаборатории
Читать

24.11.2022

Поздравляем Ж.Р.Омарову с защитой диссертации!
Читать

25.10.2022

Георгий Франк: «Патологоанатомы должны участвовать в выработке программ лечения»
Читать

04.10.2022

«Де Жени» — одна из лучших цифровых лабораторий
Читать

13.09.2022

Доклад о повышении эффективности диагностики вызвал большой интерес на конгрессе
Читать

01.08.2022

Оптимальное качество подтвердилось в очередной раз
Читать

01.07.2022

Эксперты Хеликс и DE GENIE дали советы Тутте Ларсен
Читать

02.06.2022

С.С.Голубев в "Азбуке здоровья": можно ли предотвратить рак и какие обследования нужны, чтобы не пропустить заболевание?
Читать

12.04.2021

Публикация М.А.Каушан в "Новостях клинической цитологии России"
Читать

02.04.2020

Мы работаем по обычному графику с соблюдением всех санитарно-эпидемиологических требований
Читать

21.10.2019

Лаборатория провела мастер-класс в рамках партнерства с ФБУЗ «Лечебно-реабилитационный центр Минэкономразвития России»
Читать

30.09.2019

Второй международный форум онкологии и радиологии
Читать

16.09.2019

Эксперты "Де Жени" на 31-м Европейском конгрессе по патологической анатомии
Читать

04.06.2019

Симпозиум с международным участием «Патология костей и мягких тканей»
Читать

24.05.2019

Научно-практическая конференция «Нейроморфология»
Читать

24.04.2019

Доклад на конгрессе «ЛабРиН -2019»
Читать

30.03.2018

Врачи De Genie на конференции Кировского ГМУ
Читать

05.06.2017

De Genie — звёздная лаборатория!
Читать

02.04.2017

Лекции С.Г. Хомерики на заседаниях Московского отделения Российского общества патологоанатомов
Читать

01.03.2017

Специалисты Laboratoires De Genie повысили свою квалификацию
Читать

01.02.2017

Присвоение квалификационных категорий лаборантам Laboratoires De Genie
Читать

05.11.2016

Публикация Сергея Голубева в журнале «Современная лаборатория»
Читать

07.05.2015

Сергей Голубев стал соавтором публикации в журнале Nephron
Читать

Часто задаваемые вопросы

Чем занимается лаборатория?

Специалисты Международной лаборатории патоморфологии LABORATOIRES DE GENIE работают, чтобы помочь пациенту и лечащему врачу ответить на вопросы:

  • какие процессы, невидимые при обычном осмотре и обследованиях, идут в организме?
  • есть ли опухоли, новообразования?
  • рак или не рак?
  • если рак, то какой именно? в какой стадии? есть ли метастазы?
  • какую стратегию лечения выбрать врачу?
  • каков эффект от пройденного курса лечения?

Чтобы ответить на эти вопросы, нужно взять на анализ интересующий докторов фрагмент органа или ткани (с помощью мазка, биопсии, соскоба, а также в ходе операции на пораженном органе), провести его через сложную технологическую цепочку на сверхточном оборудовании, изготовить микропрепарат (гистологическое стекло) и рассмотреть его под микроскопом.

Что такое гистологическое исследование?

Гистология - медицинская наука, изучающая ткани человека, их строение и функции.

Для гистологического исследования из органа выделяются патологические очаги, затем с помощью микротома нарезаются тончайшие (от 1 до 5 микрон) пластинки ткани, помещаются на стекло, окрашиваются по сложной схеме несколькими красителями для оптимальной видимости и передаются врачу. Конечно же, подготовка препарата на нашем оборудовании не может «испортить» исследуемый материал.

Врач-патоморфолог рассматривает материал на клеточном и субклеточном уровне и, руководствуясь своими знаниями, дает экспертное заключение о микроструктуре ткани: какие клетки обнаружены в материале, должны ли они там присутствовать в норме, замещена ли здоровая ткань патологически измененной, и если да, то в какой степени.

При постановке диагноза врач, помимо видимого на стекле материала, учитывает другую клиническую информацию: данные обследований (лучевая диагностика, инструментальные осмотры, анализы), заключения врачей и т.д.

Что такое цитологическое исследование?
Цитология – медицинская наука, изучающая живые клетки, их строение, развитие и функционирование.

Цитологическим способом исследуются клетки, полученные из выделений, секретов, мокроты, слизи, мазков, полостных жидкостей и т.д.

Жидкий материал готовится по-иному, нежели ткань: он наносится тонким слоем на предметное стекло, окрашивается для лучшей видимости и предоставляется врачу клинической лабораторной диагностики, который рассматривает материал на клеточном и субклеточном уровне и, руководствуясь своими знаниями, дает экспертное заключение о микроструктуре исследуемого биоматериала: какие клетки обнаружены в материале, должны ли они там присутствовать, есть ли признаки болезни.

При постановке диагноза врач, помимо видимого материала, учитывает другую клиническую информацию: данные обследований (УЗИ, осмотры, анализы), заключения врачей и т.д.

Что такое иммуноморфологическое (иммуногистохимическое) исследование (ИГХ)?

Иммуногистохимия – современная методика исследования тканей и клеток организма, выявляющая их темп роста, реакцию на гормональные препараты и химиотерапию. Она позволяет подобрать оптимальный метод лечения для каждого случая онкологического заболевания.

ИГХ-исследование проводится так: участки опухоли, обнаруженные при гистологическом исследовании, помещаются в иммуногистостейнер, где обрабатываются различными препаратами (антителами). Реакция клеток и тканей в приготовленных ИГХ-препаратах дает ясное представление о свойствах опухоли и наиболее эффективном способе лечения.

Спектр антител для ИГХ-исследований в лаборатории «Де Жени» насчитывает более 160 наименований, и это позволяет диагностировать самые редкие опухоли, а также помогать врачам-репродуктологам в установлении причин бесплодия и назначении терапии.

Зачем нужен пересмотр препаратов?

Точность гистологического, цитологического или ИГХ-исследования зависит от многих факторов, и в первую очередь – от квалификации и специализации врача, смотрящего препарат. Данные исследования по своей природе субъективны.

К сожалению, во многих лабораториях, особенно при обслуживании по полису ОМС, вы не можете выбрать врача, который будет делать исследование для вас, или узнать побольше о его квалификации и стаже работы. По статистике нашей лаборатории, ошибки диагностики нередки: в среднем 30% пересмотров заканчивается опровержением или уточнением первого исследования.

Нас часто спрашивают, какая ошибка диагностики хуже: не выявленная имеющаяся болезнь или ошибочно найденная болезнь, которой на самом деле нет? Ответ очевиден: безопасных ошибок в нашем деле не бывает. Для пациента плохо и получить ненужную терапию (включая неоправданные операции) со всеми побочными эффектами, и остаться без лечения, когда оно необходимо.

Одна из задач нашей лаборатории – развитие культуры медицинского обслуживания и уважения прав пациента, в том числе прав распоряжаться своими биоматериалами и выбирать для диагностики и лечения специалистов, мнению которых пациент доверяет.

Почему именно ваша лаборатория?

Международная лаборатория патоморфологии LABORATOIRES DE GENIE оснащена оборудованием по последнему слову техники не только в России, но и в мире. Она не просто лицензирована по российским законам, но и прошла добровольную сертификацию в качестве референсной (т.е. предоставляющей проверяемые на международном уровне достоверные заключения) лаборатории.

Главный компонент верного и точного заключения – знания и опыт врача, проводящего исследование. Наши доктора имеют прекрасное образование и ученые степени, преподают в медицинских вузах, публикуются в научных журналах и постоянно повышают свой профессиональный уровень. 

В сложных случаях мы практикуем коллегиальные решения, в том числе с участием ведущих зарубежных специалистов, и это не влияет на стоимость исследования.

Какому из заключений я могу доверять?
Доверие пациентов и врачей-клиницистов к уровню наших услуг и точности заключений доказано количеством обращений, в том числе повторных.

Ежемесячно у нас проводится более 25 000 исследований – как по личным заявкам пациентов, так и по направлениям из более чем 100 государственных и частных клиник – постоянных партнеров, которые доверяют исследования, важные для здоровья их пациентов, только нам.

По мнению многих врачей-клиницистов (т.е. докторов, которые, руководствуясь данными обследований, проводят лечение), наше мнение является конечным по России.

Как сделать анализ в вашей лаборатории?
Мы не проводим процедуры взятия материала для анализа.

Если материал у вас уже есть, то привозите или присылайте его по нашему адресу в Москве либо свяжитесь с нами для организации доставки. Мы принимаем для исследований образцы ткани в формалине, готовые парафиновые блоки и стёкла.

Если гистологическое, цитологическое или ИГХ-исследование вам уже делали, то вы имеете право забрать блоки и стёкла из любой лаборатории. Они являются вашей собственностью. По закону срок хранения парафиновых блоков и стёкол - 25 лет.

Вам понадобятся:

  • Паспорт;
  • Максимально полная клиническая информация (выписной эпикриз, предыдущие гистологические заключения, все сопутствующие анализы и исследования);
  • Сам биологический материал: образец в герметичном контейнере с формалином либо стёкла, блоки (полный комплект, который был изготовлен при исследовании в другой лаборатории).

Мы позвоним вам, как только результаты исследований будут готовы, и сразу же пришлем заключение врача по электронной почте.

Можно ли сделать анализ по полису ОМС?
Да, если ваша клиника выдаст направление установленной формы в ООО "Лаборатуар Де Жени".

Более полная информация — в разделе "ОМС".
Можно ли сделать пересмотр срочно?
Мы ценим время пациентов и зачастую даем ответ как только он готов, то есть до истечения обозначенного срока, без надбавок за срочность исследования. Однако мы не можем гарантировать, что такая возможность будет в нужный вам момент.

Принцип LABORATOIRES DE GENIE — исследовать каждый случай до предельной ясности. Регламент лаборатории предписывает, чтобы:

  • при сомнениях врача в диагнозе, 
  • при принципиальном расхождении мнения врача с заключением, которое пациент получил в другом учреждении,
  • при установке или снятии диагноза злокачественного новообразования (рака)
было в обязательном порядке инициировано коллегиальное рассмотрение препаратов, при необходимости — с привлечением внешних экспертов. Поскольку соблюдение регламента невозможно в рамках услуги «Срочный пересмотр», то было принято решение от нее отказаться.

КОНТАКТЫ

127287, Москва, ул. 2-я Хуторская, д. 38А, стр. 14 (БЦ «Мирланд»), подъезд 6, этаж 2

пн-пт 08:00 - 20:00
сб-вс 09:00 - 13:00

Лаборатория находится на охраняемой территории с пропускным режимом (как для автомобилей, так и для пеших посетителей). На территории имеется бесплатная гостевая парковка.
Для заказа пропуска позвоните по телефону
+7 (495) 280 00 10 в рабочее время.

При визите иметь документ,
удостоверяющий личность.